Newsletter 66 (Juin 2015)

Publication
Accueil > Ressources > Newsletters > 2015
Cette nouvelle Newsletter cd2-conseils aborde des sujets qui intéressent les chirurgiens dentistes employeurs dans les domaines de la prévention des risques infectieux, de la radiologie / radioprotection mais aussi ceux de la santé au travail et des relations employeurs / employés.

 

Nous vous encourageons à nous donner votre avis sur cette nouvelle présentation et nous dire comment nous pourrions l’améliorer.

 

Accédez à tous les articles de cette Newsletter​

 

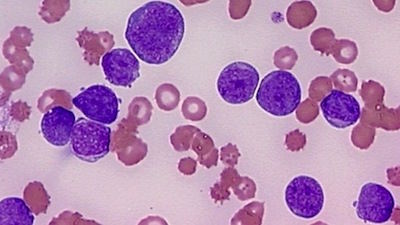
Effets des faibles doses sur la santé​

Les rayonnements ionisants à faible dose seraient responsables de certaines leucémies chez les travailleurs en environnement nucléaire.


Enceinte au travail​

La femme enceinte, tout au long et après sa grossesse, bénéficie d’un statut très protecteur en matière de santé et de sécurité au travail.

 


Médecine du travail: les obligations​

L’employeur doit proposer à ses salariés plusieurs types de visites obligatoires auprès du médecin du travail.

 


Défaut dans l’organisation des visites médicales​

L’employeur doit faire en sorte que les visites médicales obligatoires de ses travailleurs soient effectuées … mais il y a des exceptions.

 


Contrôle de l’inspection du travail​

L’employeur doit être en mesure de fournir à l’inspecteur tous les documents qu’il demande (livres, registres et autres documents).

 


Salariés à temps partiel : les congés payés​

Les jours de CP d’un salarié à temps partiel sont décomptés de la même façon qu’un salarié à temps plein.​

Nous espérons que cette Newsletter cd2-conseils vous a plu et nous attendons vos remarques et suggestions pour l’améliorer.

Bien cordialement,

L’Equipe cd2-conseils